Prix des Implants Dentaires 2025 / Liste Actuelle des Prix des Implants Dentaires
Les prix des implants sont l’un des sujets de curiosité aujourd’hui. Le traitement implantaire, qui fait partie des méthodes de traitement des dents manquantes qui est un traitement proche des dents naturelles en cas de perte d’une ou plusieurs dents. Il est devenu populaire en raison des taux d’efficacité élevés obtenus grâce au traitement. Mais les prix des implants sont une source de préoccupation pour les patients à ce stade. Obtenons des informations sur l’implant avant de passer aux informations sur les prix.
Qu’est-ce qu’un Implant ?
La santé bucco-dentaire est d’une grande importance pour les dents. Les dents qui ne sont pas soignées pourriront avec le temps et devront être extraites. Les méthodes de traitement des ponts et des prothèses dentaires sont utilisées depuis longtemps pour les dents manquantes. Aujourd’hui, il existe une méthode de traitement plus esthétique et plus permanente. Cette méthode de traitement est appelée traitement dentaire implantaire. Qu’est-ce que la méthode de traitement d’implant pour la nouvelle génération ?
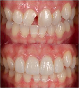
Les implants sont des vis en titane qui sont placées dans l’os de la mâchoire pour remplacer les dents manquantes. Les prothèses dentaires préparées dans des environnements stériles sont placées sur des vis insérées dans l’os. Pour que le traitement implantaire soit effectué, il est nécessaire d’avoir une structure osseuse adaptée. Des interventions chirurgicales osseuses sont également effectuées pour les os inadaptés. Les prix des implants varient en fonction de toutes ces procédures.
Bien que les prix des implants soient relativement élevés, les dents sur implants donnent les résultats les plus proches des dents naturelles. Car les dents implantées ne reçoivent pas de soutien d’autres dents, elles tirent leur force de l’os de la mâchoire comme les dents naturelles. Dans l’application d’implant, la gencive est d’abord ouverte et un trou est fait dans l’os de la mâchoire. Ce trou est suffisamment large pour que l’implant s’adapte. L’implant est placé et la partie gingivale au-dessus de l’alvéole dentaire ouverte est refermée et l’implant devrait fusionner avec l’os de la mâchoire.

Si l’os de la mâchoire n’est pas suffisant, il est nécessaire de faire une greffe osseuse, c’est-à-dire de renforcer l’os de la mâchoire. Apres la greffe osseuse, une période de 2 à 3 mois est nécessaires pour que l’implant s’intègre à l’os de la mâchoire. L’application d’implants est en fait très facile, mais c’est un travail qui nécessite des connaissances techniques et médicales élevées. Ainsi, du point de vue de ceux qui sont traités, Le patient vient et repart avec de nouvelles dents en quelques étapes.
Cependant, la partie technique de l’événement est beaucoup plus compliquée. Parce qu’à ce stade, il existe de nombreuses procédures telles que la sélection des implants, si le patient a une maladie qui empêchera l’implantation, les types d’implants, la taille, la forme et l’application. Tout cela nécessite de l’expérience et du professionnalisme. C’est pourquoi l’implant est une solution à long terme et non à court terme. De ce point de vue, les prix des implants sont-ils chers ? Bien sûr, votre santé est plus importante que le coût.
Processus du Traitement Implantaire
Pour commencer, le médecin examine le patient et analyse la structure de la mâchoire et de l’os. Ensuite, il indique si le patient est apte à recevoir un traitement implantaire. Ainsi on peut commencer la phase de pose des implants. L’implant est placé sous la gencive. Ensuite, il faut attendre un moment que l’implant et l’os de la mâchoire fusionnent. Une vis de cicatrisation est ensuite placée sur l’implant. Après la récupération, les répétitions nécessaires sont faites et pour finaliser la couronne en porcelaine est ensuite placée sur l’implant.
Pourquoi un Traitement Implantaire ?
Les implants sont fabriqués à partir de matériau en titane utilisé dans le domaine médical. De cette façon, il est compatible avec la structure osseuse et ne provoque pas de réactions allergiques. Elles sont semblables à une dent naturelle et présente les mêmes fonctions. Les vides causés par les dents perdues entraînent une perte osseuse dans la mâchoire. Avec les implants dentaires, ces vides sont comblés et ainsi la perte osseuse de la mâchoire est évitée. Le patient qui a un problème dentaire s’élève à un niveau de vie beaucoup plus sain et de qualité.
Ce qu’il Faut Considérer pour les Prix des Implants
Le traitement implantaire est-il un traitement coûteux ou si le traitement implantaire est coûteux sont quelques-unes des questions les plus courantes auxquelles les dentistes sont confrontés. Même s’il peut sembler cher à première vue, le prix payé sera perçu comme un petit prix compte tenu du confort et des avantages qu’il procurera dans les années avenir. Comme nous l’avons mentionné ci-dessus, lorsqu’il s’agit de votre santé, le mot cher perdra son sens.
Même lorsqu’une seule dent manquante est prise en compte, lorsqu’il s’agit de traiter cette déficience avec un implant ou un pont à trois membres, le pont semble être un plan de traitement plus raisonnable et plus approprié au début.
À l’avenir, les dents taillées sur lesquelles les couronnes seront placée peuvent causer des problèmes avec le temps. Pas dans les 10 premières années, peut-être pas dans 20 ans, mais à l’avenir, cela peut causer de graves problèmes tels que la perte de ces dents, peut-être un traitement de canal et peut-être le renouvellement des couronnes en porcelaine.
Les changements de la structure de la bouche au fil du temps peuvent entraîner des situations telles que la mobilité ou la rupture et le renouvellement des prothèses. Les implants éliminent ces inconvénients à long terme. Pour cette raison, cette procédure revient beaucoup moins cher.
Mais la situation est différente avec l’implant. Si l’implant est inséré, appliqué et bien entretenu proprement, la structure en titane de l’implant restera stable, et seule la couronne en porcelaine sur l’implant qui est l’infrastructure pourra être remplacée avec le temps. Cela nous procurera des bénéfices financière et spirituels à l’avenir. Mais quand on regarde à court terme, quand on nous demande si l’implant est plus cher ou si d’autres options sont plus chères, bien sûr l’implant est cher. Mais à long terme, l’implant sera plus adapté que toutes les autres applications. Du point de vue des prix des implants, bien sûr, de nombreux facteurs affectent les prix des implants comme ci-dessus.
Alors, est-ce que les prix des implants sont-ils chers ?
Le coût du traitement implantaire peut sembler trop élevé pour de nombreuses personnes. Bien sûr, il est tout à fait normal d’avoir un prix au-dessus de la norme. Le traitement implantaire est un traitement de longue durée. C’est une méthode qui peut être permanente à vie lorsqu’elle est appliquée par un médecin expérimenté conformément aux règles et lorsque le patient fait attention aux soins buccaux dentaire. Pour cette raison, il est nécessaire de considérer les prix des implants en tenant compte de ce facteur. Les coûts des implants qui durent toute la vie si les soins nécessaires sont faits, ne doivent pas effrayer la personne. N’oubliez pas que vous l’utiliserez à vie.
Prix de l’implant et facteurs affectant les prix :
Combien d’implants seront appliqués,
Des facteurs tels que le nombre d’implants à appliquer affectent le coût final du traitement.
Marques des Implants
En tant que Dental Clinic Turkey, les marques d’implants que nous préférons grâce à notre expérience acquise depuis de nombreuses années sont les suivantes :
ITI Straumann: C’est l’une des marques d’implants les plus connues. Il est à longue terme et durable.
Nobel Biocare: Originaire de Suisse, c’est la première marque qui a inventé l’implant et il est de très haute qualité.
Osstem: La marque sud-coréenne mondialement connue s’est développée très sérieusement ces dernières années et est en mesure de rivaliser avec les produits suisses en termes de qualité.
S’il existe un problème plus important dans le traitement implantaire que l’implant lui-même, c’est l’expérience du médecin qui effectuera l’application. Si vous souhaitez en savoir plus sur les prix actuels des implants de Dental Clinic Turkey, vous pouvez nous contacter dès maintenant en utilisant l’une des méthodes de la section contact.




Aujourd’hui, il existe de nombreuses marques d’implants en raison de son utilisation courante. Le fait que la société d’implants soit sur le marché depuis très longtemps apporte de nombreuses expériences. Les entreprises reflètent ces expériences sur leurs implants et s’assurent que les implants servent de la meilleure façon.
La qualité de l’os est également l’un des facteurs influant sur le succès de l’implant. De plus, avant le traitement et tant que l’implant reste en bouche les gencives doivent être parfaitement saines.
Des dents temporaires peuvent être fabriquées dans le délai qui s’écoule entre le début et la fin du traitement pour la pose des implants de la bouche complète. Cependant, à la fin de votre traitement de chirurgie implantaire, on peut vous demander de ne pas utiliser cette prothèse temporaire pendant la semaine où les empreintes sont prises. De plus, vous pouvez utiliser votre prothèse dentaire temporaire pendant trois mois pour manger et compléter l’image esthétique.
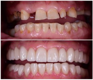
Le sourire esthétique que nous appelons Hollywood Smile peut être appliqué à presque toutes les personnes (de plus de 18 ans). Seul le mode d’application peut changer. Chez certaines personnes appliquées, l’application peut être faite sans ou très peu de taillage de la dent. Cette application peut généralement être des facettes.
Que faut-il faire pour un beau sourire était notre première question. Qu’est-ce qui suit, faut-il intervenir sur les dents ? Cette opération n’est pas toujours requise. L’esthétique d’un sourire peut être obtenue en quelques étapes simples. Les techniques de blanchiment des dents peuvent en faire partie. Le type de revêtement le plus couramment utilisé dans le traitement esthétique est la facette qui est appliqué uniquement sur la surface visible des dents.

Maintenez votre hygiène bucco-dentaire matin et soir et brossez-vous les dents

L’élément principal pour lequel les patients sont curieux de savoir ce qu’est un implant peut également être le stade de la pose de l’implant. Cette opération peut être effectuée par 2 méthodes différentes. La première consiste à installer un capuchon (vis chirurgicale) temporaire immédiatement après la pose de l’implant. Dans la deuxième méthode, l’implant est placé et refermé avec la gencive. On s’attend à ce que la récupération ait lieu pendant un certain temps. Après cela, le processus d’installation des dents prothétiques est effectué. Une fois la vis en titane insérée, il faut attendre 3 mois pour la mâchoire inférieure et 4 à 6 mois pour la mâchoire supérieure. Grâce à cela, une récupération complète est obtenue.
Tout d’abord, il est nécessaire de mentionner le détail douloureux de ce qu’est un implant. Avant la procédure, une anesthésie locale est appliquée et la zone à intervenir est engourdie. Par conséquent, il n’est pas possible que le patient ressente une douleur lors de l’application.
