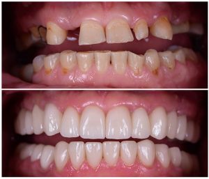
Vollmundimplantat in der Türkei
Was ist ein vollständiges Zahnimplantat?
Zahnimplantate sind in den letzten Jahren eine der am häufigsten verwendeten Methoden zur Ergänzung fehlender Zähne. Diese auch als Zahnimplantat bezeichnete Methode kann als fortschrittliche Alternative zu Brücken- und Zahnersatzanwendungen gezeigt werden, die in den letzten Jahren viel häufiger verwendet wurden.
Vollmund Zahnimplantate (Vollmundrestaurieung)
Wenn Sie alle oder die meisten Ihrer Zähne verlieren, ist die Behandlung, die Sie benötigen, eine Operation mit Zahnimplantaten im gesamten Mund. Wenn Implantate in den Kieferknochen eingesetzt und darauf mit festsitzenden Brücken oder festsitzenden Prothesen fixiert werden, wirken sie wie eine Wurzel.
Was ist eine Vollmundimplantatbehandlung?
Menschen können aus verschiedenen Gründen Zahnverlust im Mund erleiden. Zahnverlust entsteht durch vermehrten Zahnverlust. Die Behandlung, die anstelle von zu viel Zahnverlust durchgeführt werden muss, wird als Vollmundimplantat bezeichnet. Die Behandlung mit Vollmundimplantaten ist geplant, um 6-8 Stück im Unterkiefer und Oberkiefer herzustellen.
Die Anzahl der bei unserem Patienten eingesetzten Implantate hilft auch bei der Bestimmung des Prothesentyps. Im Allgemeinen setzen wir bei Verwendung von 2 oder 4 Implantaten eine herausnehmbare Prothese ein. Wenn wir fünf oder mehr Implantate verwenden, wenden wir eine festsitzende Prothese an. Im Gegensatz zu den Fünf-Implantat-Anwendungen wird es jedoch an festsitzenden Implantatprothesen mit 4 Implantaten durchgeführt. Die Behandlungsanwendung, bei der 4 Implantate für festsitzenden Zahnersatz verwendet werden, heißt All On Four.
Bei wem wird die Implantatbehandlung bei vollstaendiger Zahnlosigkeit angewendet?
Die richtige Diagnose ist sehr wichtig. Hierzu ermitteln unsere Fachärzte zunächst mit Röntgen und Erstuntersuchung die aktuelle Situation. Anschließend werden unsere Patienten über ihren Zustand und die am besten geeigneten Behandlungen aufgeklärt. Die Anwendung von Vollmundimplantaten wird bei jedem Erwachsenen angewendet, der keine Zähne im Mund hat.
Vorteile der Implantatanwendung bei vollständiger Zahnlosigkeit
Festsitzende oder herausnehmbare Implantatprothesen werden in der Implantatanwendung bei vollständiger Zahnlosigkeit angewendet. Diese implantatgetragenen Prothesen bieten unseren Patienten psychologische Unterstützung und Selbstvertrauen sowie eine einfache Handhabung.
- Es wird einfacher und schneller durchgeführt als andere Implantatbehandlungen.
- Implantate heilen nach der Behandlung bei vollständiger Zahnlosigkeit schneller ein.
- Bei Problemen wird einfacher und schneller interveniert.
- Sie sehen ästhetisch schön und natürlich aus.
- Unsere Patienten sehen aus wie echte Zähne.
Was tun, wenn keine Zähne im Mund sind?
Wenn im Mund keine Zähne vorhanden sind, wird das Implantat eingesetzt. Allerdings geht es hier nicht um ein Implantat für jeden Zahn. Das ist zwar möglich, aber nicht gesund. Denn der geringe Knochenanteil zwischen den beiden Implantaten wirkt sich negativ auf die Gesundheit und Lebensdauer des Implantats aus.
Was kann ein Patient ohne Zähne im Mund essen, nachdem Implantate eingesetzt wurden?
Nach der Operation ist Vorsicht geboten. Nach dem Einsetzen der Implantate sollte die Ernährung umgestellt werden, bis der festsitzende Zahnersatz auf dem Implantat sitzt. Folgende Lebensmittel können dabei verzehrt werden: Fruchtpüree, weiche Speisen, Banane und Pfirsich, Kürbispüree, Joghurt mit Fruchtpüree und nicht scharfe Gemüsesuppen.
Was ist vor einem Zahnimplantat zu beachten?
Auch die Qualität des Knochens ist einer der Faktoren, die den Erfolg des Implantats beeinflussen. Außerdem muss das Zahnfleisch vor der Behandlung und solange das Implantat im Mund bleibt, vollkommen gesund sein.
Die Knochenstruktur ist einer der wichtigsten Faktoren, die den Erfolg der Implantatanwendung beeinflussen. Die Person muss über geeignetes Knochengewebe für das Implantat verfügen. Der Nachweis von Knochengewebe sollte sichergestellt werden, und dann sollte die Implantatplanung erfolgen. Vor der Implantation müssen klinische und radiologische Untersuchungen durchgeführt werden.
Wenn die Knochenstruktur und der allgemeine Gesundheitszustand der Person für das Implantat geeignet sind, gibt es keine obere Altersgrenze. Die Gesundheit ist ein viel wichtigerer Faktor als das Alter.
Rauchen kann das Infektionsrisiko erhöhen, insbesondere während der frühen Genesung. Rauchen wird hierfür nicht empfohlen.
Die Lebensdauer von Implantaten hängt von vielen Faktoren ab. Implantate können ein Leben lang verwendet werden, indem sie die allgemeine Mund- und Zahnpflege des Patienten gewährleisten und seine Gesundheit schützen. Im Hinblick auf die Lebensdauer des Implantats ist es notwendig, die Zähne zweimal täglich richtig zu putzen, regelmäßig Zahnseide und Mundwasser zu verwenden.
Die Erfahrung des Arztes, der die Implantation durchführt, ist sehr wichtig. Es sollte beachtet werden, dass der Zahnarzt auf seinem Gebiet ausgebildet und erfahren ist.
Wenn die Implantatentscheidung gefallen ist, sollte eine gute Recherche zu diesem Thema durchgeführt und der richtige Arzt gefunden werden.
Können provisorische Zähne hergestellt werden, während alle Zähne implantiert werden?
Provisorische Zähne können innerhalb dessen hergestellt werden, wie lange es vom Beginn der Behandlung mit Vollmundimplantaten bis zum Ende dauert. Am Ende Ihrer implantatchirurgischen Behandlung werden Sie jedoch möglicherweise gebeten, diese provisorische Prothese in der Woche, in der Ihre Zahnvermessung vorgenommen wird, nicht zu verwenden. In den anderen drei Monaten können Sie Ihren provisorischen Zahnersatz zum Essen verwenden und das ästhetische Erscheinungsbild vervollständigen.
Festsitzende Provisorien können im Unter- und Oberkiefer bei geeigneten Knochenverhältnissen eingesetzt werden, während die Verwendung von festsitzenden Provisorien für unsere Patienten mit Verlust des Knochenniveaus nicht geeignet ist (insbesondere, wenn zusätzliche Anwendungen wie Sinuslift usw. erforderlich waren). gemacht). In solchen Fällen stellen wir anstelle eines festsitzenden Zahnprovisoriums ein herausnehmbares (bewegliches) Provisorium zur Verfügung. Vergessen Sie jedoch nicht, dass diese Situation vorübergehend ist und für die gesunde Einheilung Ihrer Implantate notwendig ist.
Wie lange dauert es, ein Vollmundimplantat herzustellen?
Die Behandlung und Behandlungsdauer, die für jede Person anzuwenden ist, ist unterschiedlich. Wie viele Implantate für unseren Patienten hergestellt werden können, wird nur durch die klinische Untersuchung bestimmt. Generell sind die Kieferbreite, die Schließform des Unter- und Oberkiefers und mindestens ebenso, vielleicht noch wichtiger, das Knochenvolumen ausschlaggebend.
Die Wünsche und Erwartungen des Patienten wirken sich auch auf die Anzahl der zu setzenden Implantate aus. Wenn Sie sich darüber informieren möchten, wie viele Implantate Sie benötigen, können Sie nach Terminvereinbarung zur Untersuchung kommen. Sie können sich über die Kontaktseite bewerben, um Zeit zu sparen und eine Meinung zu Ihrer lebenslangen Implantatbehandlung einzuholen.
Implantate sind in jedem Alter möglich
Mit zunehmendem Alter nimmt der Zahnverlust aufgrund von Gründen wie Karies und Zahnfleischproblemen zu. Da zunehmender Zahnverlust das Essen und Trinken erschwert, wirkt sich dies sehr negativ auf den Lebenskomfort älterer Menschen aus. Ernährungsprobleme, die mit oder ohne chronische Erkrankungen auftreten, sind auch Auslöser verschiedener gesundheitlicher Probleme.
Ein Implantat ist eine künstliche Zahnwurzel, die mit einer Titanschraube hergestellt wird, die in den Kieferknochen eingesetzt wird, um fehlende Zähne zu vervollständigen. Der künstliche Zahn, der auf der am Kieferknochen befestigten Schraube hergestellt wird, ist ziemlich langlebig und dauerhaft.
Welche Marken und Materialien verwenden wir für Zahnimplantate?
Die Dental Clinic Turkey bevorzugt Unternehmen, die von internationalen Organisationen der Zahnmedizin wie der FDI, die international angesehen und gültig ist, akzeptiert und zertifiziert wurden.
Zu Beginn dieser Marken werden Osteem Dental Implants, Zahnimplantate der Straumann-Gruppe und Nobel-Implantate verwendet. Auch hier bevorzugen wir Nobel-Produkte für alle unsere Transplantations- und Liftingverfahren.
Was sind Vollmundimplantat-Behandlungspakete?
Wenn Sie detaillierte Informationen zu Ihrer Behandlung erhalten möchten, können Sie sich an unser Team wenden. Durch sorgfältige Arbeit mit Hilfe des digitalen Zahnheilkundesystems durch erfahrene Ärzte in der Dental Clinic Turkey kann in kurzer Zeit eine erfolgreiche Behandlung erfolgen.
Online-Beratung
Wenn Sie unser Kontaktformular ausfüllen, können Sie sich umfassend über alle Details informieren, auf die Sie neugierig sind Kontaktieren Sie uns unter unserer Whatsapp-Hotline +90 546 776 30 30 , um Informationen zu Ihrer Behandlung zu erhalten.

