For international patients traveling to Turkey for dental tourism, the “All-on-X” concept is the most transformative solution for full-arch restoration. However, the big question remains: Should you choose All-on-4 or All-on-6?
At Dental Clinic Turkey, with our 15 years of experience, we help you navigate this choice based on your bone structure, budget, and aesthetic goals.
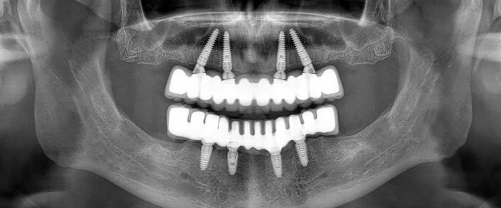
Understanding the Systems
Both techniques are designed to replace an entire arch of missing teeth using a fixed bridge, eliminating the need for removable dentures forever.
All-on-4: This system uses four implants per jaw. Two are placed straight in the front, and two are tilted at an angle in the back. This tilting allows us to anchor the implants in parts of the jaw that naturally have more bone.
All-on-6: This system uses six implants per jaw. These are typically distributed across the arch, providing additional points of support and creating a very rigid foundation for the new teeth.
All-on-4: The Efficient Solution
All-on-4 is often the “go-to” choice for patients who have been missing teeth for a long time.
Ideal for Bone Loss: Because the rear implants are angled, we can often avoid complex bone grafting or sinus lift procedures.
Faster Recovery: With fewer implants being placed, the surgical and healing time is generally shorter.
Budget-Friendly: Fewer implants and fewer surgical steps make this a more economical option for international travelers.
Immediate Results: In many cases, we can provide temporary fixed teeth on the same day as surgery.
All-on-6: The Premium Stability
All-on-6 is recommended for patients who want the most “over-engineered” and sturdy solution possible.
Superior Pressure Distribution: Having six implants allows the biting force to be spread more evenly across the jawbone.
Long-Term Security: If one implant fails (though rare), the remaining five can often still support the bridge, whereas with All-on-4, the entire bridge might need re-evaluation.
Feels Like Natural Teeth: Because it follows the natural curve of the jaw more closely with extra support, many patients find it feels indistinguishable from their original teeth.
Requires Healthy Bone: This method requires a higher volume of bone. If you have significant bone loss, you may need grafting before we can proceed with six implants.
Which One Should You Choose?
The decision ultimately depends on your clinical diagnosis. If you have significant bone thinning, All-on-4 is likely your best and most comfortable path. However, if you have sufficient bone density and a very strong bite, All-on-6 provides an extra layer of durability and strength.
Why Choose Dental Clinic Turkey?
Making this decision from abroad can be daunting. At our clinic in Antalya, we make it easy:
3D Digital Mapping: We use advanced CBCT scans to see exactly where your bone is strongest.
15 Years of Expertise: Our surgeons have performed thousands of successful implant procedures.
Vacation-Ready Planning: We organize your treatment so you can enjoy the stunning beaches and history of Antalya.
Ready for a new smile? Contact us for a free online consultation and let’s find out which “All-on” solution is right for you!

